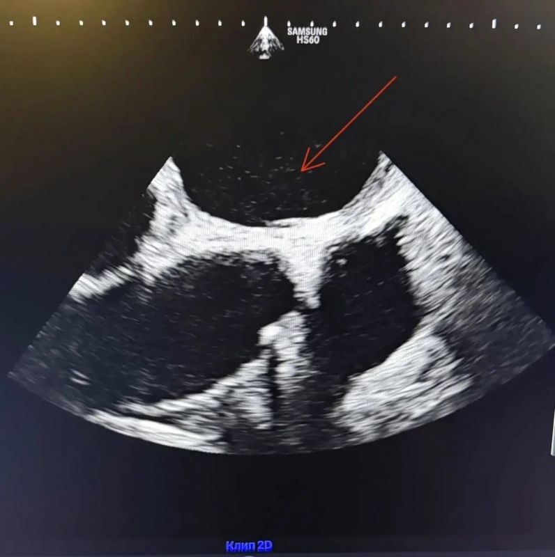
Оренбургская городская больница им. Н. И. Пирогова использует пузырьковый тест для диагностики открытого овального окна и дефектов межпредсердной перегородки – патологий, которые часто не выявляются при обычном УЗИ сердца.
Метод прост и безопасен: пациенту вводят физраствор с микропузырьками, а затем с помощью УЗИ отслеживают их движение в сердце. Если пузырьки попадают в левое предсердие – есть дефект. Процедура занимает 10-15 минут.

Когда стоит пройти тест?
- были необъяснимые обмороки или инсульт;
- мучают частые мигрени без явной причины;
- врач подозревает проблему с перегородкой сердца, но обычное УЗИ не даёт чёткой картины.
При положительном результате возможна медикаментозная терапия или операция по установке окклюдера.
По словам кардиолога Натальи Тещиной, метод уже помог подтвердить диагноз одному из пациентов больницы; решается вопрос о его направлении в федеральный центр для операции.

.jpg)
