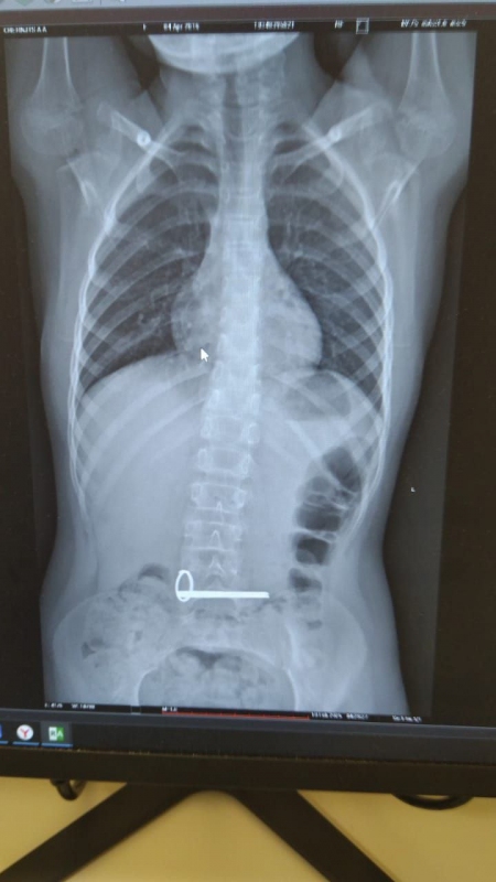
8-летний житель Оренбуржья ночью поступил в отделение экстренной помощи ОДКБ с инородным телом в желудке. Школьнику сделали снимок, на котором доктора увидели четкое изображение двух ключей, скрепленных кольцом. Эндоскопистам предстояло извлечь ключи, введя маленького пациента в наркоз. Связку достали без каких-либо осложнений для ребенка.

Заведующий эндоскопическим отделением ОДКБ Андрей Бобров:
Такие случаи происходят довольно часто. У нас есть даже своеобразная коллекция предметов: батарейки, орбизы, иголки, гвозди, булавки, заколки, скрепки, одёжные кнопки, магниты и многое другое, что достали врачи отделения из лёгких и желудков у маленьких пациентов.
В очередной раз напоминаем родителям быть более бдительными. Важно следить за детьми, особенно когда они играют с мелкими предметами и не оставлять их без присмотра. Порой родители не сразу узнают о проглатывании предметов, из-за чего инородные тела остаются в ребёнке: порой на дни, недели, иногда дольше. Это может привести к серьезным осложнениям, поэтому сразу нужно обращаться к врачам, - предостерег доктор родителей маленьких детей.




