Благодаря оперативным действиям специалистов рентген-службы, ультразвуковой и функциональной диагностики, подростка быстро подготовили к операции.

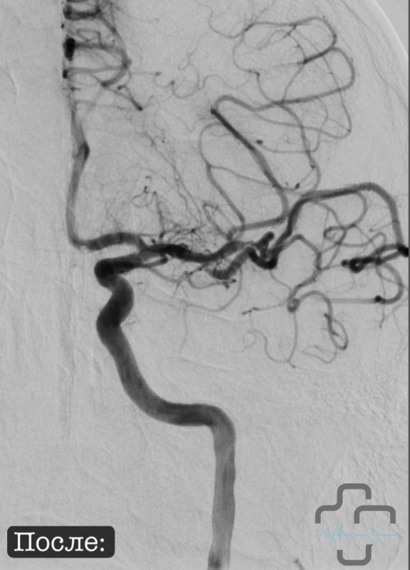
Оперативное вмешательство - внутрисосудистую тромбэктомию в левой средней мозговой артерии - провёл заведующий отделением рентген-хирургических методов диагностики и лечения Александр Владимирович Григорьев. Как отмечают врачи, именно точность и слаженность работы команды помогли сохранить не только жизнь юноши, но и его здоровье.


После стабилизации состояния пациент находился под наблюдением анестезиологов-реаниматологов, а затем был переведён в Оренбургскую областную больницу для дальнейшей реабилитации.

Сейчас подросток идёт на поправку и, по словам врачей, сможет вернуться к полноценной жизни.
Оренбуржцам напоминают, что при первых признаках инсульта важно сразу вызывать скорую помощь. Своевременное обращение к специалистам спасает жизнь.

.jpg)

